Фолиевая кислота: для чего она нужна?
Сохранить женское здоровье достаточно сложно. Мы часто сталкиваемся с гинекологическими проблемами, которые доставляют дискомфорт и мешают вести привычный образ жизни. К основным причинам развития заболеваний относят неправильное питание, стресс, отсутствие физических нагрузок. Многие препараты, назначаемые для лечения и профилактики патологических процессов, имеют множество побочных эффектов. Справиться с частью заболеваний и предотвратить их развитие поможет...
Онлайн-займ в Казахстане
В тяжелые январские дни большинство казахстанцев внезапно осознало ценность наличных денег. Оказалось, что без Интернета банковская карточка — это просто прямоугольный кусочек пластика, которым даже за хлеб не заплатишь, а банковские приложения — это всего лишь цветная иконка на экране смартфона. И старики-пенсионеры, снимающие всю пенсию сразу и бережно складывающие наличные в свои трогательно-наивные...
Растение Алоэ Вера: чем полезен сок популярного растения
Алоэ Вера - это растение, которое издавна используется в медицине, косметологии и домашней жизни. В основном, из него получают сок, который обладает множеством полезных свойств для организма. В этой статье мы расскажем о том, как получают сок из растения Алоэ Вера, какие полезные свойства он имеет и как его можно использовать для лечения и...
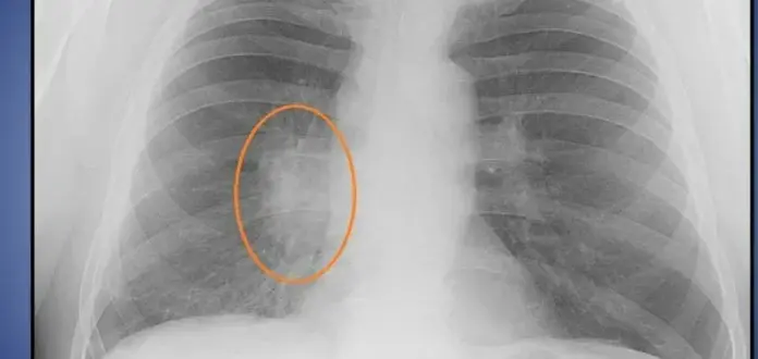
Затемнение в лёгких: что это такое и когда стоит беспокоиться?
Когда врач смотрит рентгеновский снимок легких и замечает затемнение, это еще не повод для паники, но и не тот случай, когда можно просто забыть о результатах обследования. Затемнение — это признак, который может указывать на совершенно разные состояния: от безобидных особенностей строения до серьезных патологий.
Почему на снимке появляется затемнение
Рентген работает по простому принципу: чем...
Пилатес: полное руководство по системе тренировок для тела и разума
Пилатес — это система физических упражнений, разработанная Джозефом Пилатесом в начале XX века. Методика сочетает элементы йоги, балета и силовых тренировок, делая акцент на контроле дыхания, плавности движений и укреплении глубоких мышц корпуса. Сегодня пилатес подарочный сертификат популярен среди людей разного возраста и уровня подготовки благодаря своей эффективности и безопасности.
История возникновения пилатеса
Джозеф Пилатес создал...
БЛОКНОТ ДЛЯ БЕРЕМЕННЫХ
Всё о РФ-лифтинге: что это, как работает и кому подходит
Радиочастотный лифтинг (или РФ лифтинг в Тюмени) — это одна из самых популярных и эффективных процедур омоложения в современной косметологии. Метод позволяет подтянуть кожу,...
Фолиевая кислота при бесплодии | Прием фолиевой кислоты для зачатия
Фолиевая кислота (укр. фоліева кислота) – необходимый организму витамин группы В, который имеет свойство растворяться в воде. Фолиевая кислота не синтезируется в организме и...
10 типов людей, которых лучше избегать
Людей вокруг нас всегда много, хороших и разных. И тех, кого мы подпускаем к себе ближе остальных, важно выбирать очень тщательно, ведь люди могут...
Квота на ЭКО — как получить и что делать в случае отказа
Многие семейные пары, отчаявшиеся стать родителями естественным путем, решаются на процедуру экстракорпорального оплодотворения.
Но на пути к мечте люди сталкиваются с определенными бюрократическими проволочками. Как...
Маловодие при беременности: причины, симптомы и лечение
Во время вынашивания ребенка, состояние и окружение плода играют ключевую роль в его развитии и благополучии. Одним из важных аспектов является количество амниотической жидкости,...























